Las Carillas son uno de los tratamientos dentales más solicitados de los últimos años debido a la función estética que cumplen.
Cada vez más nos fijamos en nuestra salud y estética dental, y es por ello por lo que muchos optan por la colocación de las carillas.
La principal ventaja de éstas es que puedes conseguir una sonrisa completamente a tu gusto y acorde con tus rasgos faciales en muy poco tiempo.
Puedes elegir el tamaño, la forma y el color de las fundas para tener una dentadura armónica y brillante.
Dentro de los tipos de Carillas que colocamos en nuestra Clínica Dental de Alicante están las de Porcelana y las de Composite, de estas últimas son de las que vamos a hablar en este post.
Por lo que si te interesa conocer las diferencias entre composite y porcelana y en qué casos recomendamos unas u otras, sigue leyendo.
¿Qué son las Carillas de Composite? Definición
Las Carillas o fundas dentales de Composite son las más utilizadas por la mayoría de pacientes porque son más económicas que las de Porcelana e, igualmente, ofrecen buenos resultados.
Son unas finas láminas que colocamos en la parte visible de los dientes, sobre todo en los incisivos, que son los más visibles.
La función de estas carillas es la de perfeccionar tu estética dental, ya que te permiten elegir color, forma y tamaño de tus piezas dentales. Con ello, se consigue:
- Ocultar los espacios entre dientes o diastemas.
- Ocultar el apiñamiento dental.
- Ocultar los dientes torcidos.

Ventajas y Desventajas de las Carillas de Composite
Los puntos a favor y en contra de estas Carillas han de tenerse en cuenta comparándolas con las de Porcelana. Lo detallamos a continuación:
Ventajas de las Carillas de Composite
- Precio: El precio de este tratamiento es mucho más asequible que el de las de Porcelana.
- Reparación: Ante cualquier tipo de inconveniente, reparar estas carillas será muy rápido y muy sencillo, ya que se puede llevar a cabo en nuestra Clínica Dental, sin tener que enviarlas a un laboratorio.
- Técnica Directa: Esto quiere decir que podemos hacerlas y colocarlas directamente en nuestro centro dental de Alicante, no necesitamos enviarlas a un laboratorio para su fabricación.
- Tono: La tonalidad conseguida con las de Composite es perfecta, encajará perfectamente con la tonalidad del esmalte.
- Rapidez: En una única sesión podemos colocar el composite y, por tanto, podrás salir con tu sonrisa renovada de nuestra Clínica.
Desventajas de las Carillas de Composite
- Color: El color y el brillo de las carillas de composite puede perderse con el paso de los años, siendo necesario cambiarlas por unas nuevas.
- Durabilidad: A pesar de que estas Carillas pueden durar entre 5 y 7 años, las de Porcelana son más duraderas.
Carillas de Composite o de Porcelana
El tratamiento de Carillas de Composite es uno de los más solicitados en nuestra Clínica Dental, por lo que es completamente seguro y funcional.
A pesar de que lo que comúnmente puede parecer, aunque las carillas de composite son más baratas que las de porcelana, esto no significa que sean peor en cualquier situación, si no que va a depender de las necesidades del paciente.
En Ridere Estudio Dental, nuestra Odontóloga especialista en Estética Dental, la Dra. González, te recomendará las mejores carillas acorde a tus necesidades.
Por ejemplo, si acabas de terminar una Ortodoncia, necesitas unos leves retoques o eres un paciente joven, es probable que te recomendemos las Carillas de Composite antes que las de Porcelana.
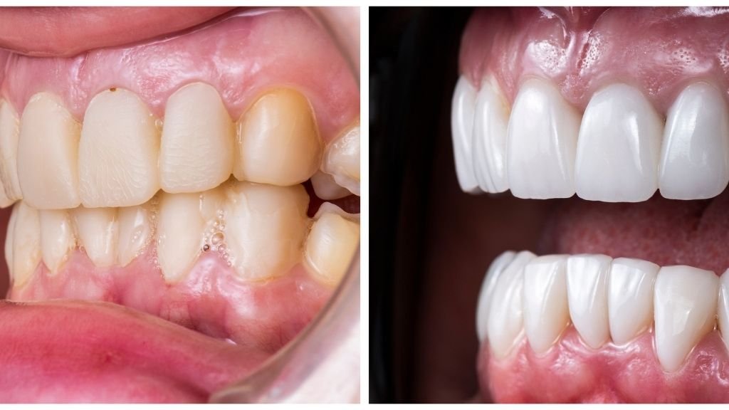
Carillas de Composite antes y después
El antes y después con estas Carillas es muy notorio ya que, al salir de nuestra Clínica Dental de Alicante, pasarás a tener unos Dientes perfectos con una sonrisa alineada y acorde con tus rasgos faciales.
Este tratamiento supone un antes y después en la vida de muchos pacientes, ya que aporta mayor confianza en uno mismo, te hace sonreír sin miedo alguno y hace que, sin mucho esfuerzo, puedas lucir tu boca como nunca antes.

Cuida tu Salud Dental
Acude a todas tus visitas y siempre que sea necesario al Dentista para realizar las revisiones necesarias para el correcto mantenimiento de las Carillas de Composite.
¿Cómo hacer el mantenimiento de las Carillas de Composite?
Una vez colocadas, estas Carillas requieren de un minucioso mantenimiento para que duren lo máximo posible en el tiempo. Dependiendo del mimo que pongas en cuidar de tu higiene bucal, podrán durar más o menos años.
- Higiene Dental: Una de las partes más importantes. Deberás cepillarte los dientes 3 veces al día, usar el hilo dental o cepillo interdental y combinarlo con ejuague bucal.
- Revisiones periódicas: Una vez comenzado el tratamiento, pautaremos unos días de revisión a los que deberás acudir para verificar que todo va correctamente.
- Alimentos: El consumo de alimentos o bebidas que tiñan los dientes deben ser moderados como, por ejemplo, el café, el vino tinto, frutos rojos, chocolate… Por otro lado, se debe evitar comer alimentos como la manzana a mordiscos ya que puede provocar la caída de la/s carilla/s.
- Malos hábitos: Algunos malos hábitos como fumar hacen que los dientes se vuelvan más amarillos, por lo que aconsejamos reducir al máximo el consumo de tabaco.
Como conclusión, las Carillas Dentales son una opción muy válida dependiendo de tu caso, por lo que siempre recomendamos acudir a tu primera cita gratis para que podamos realizar una valoración de qué necesita realmente tu boca.
Si después de haber leído todo esto todavía tienes alguna duda, puedes contactar con nosotros con el formulario de aquí abajo o mediante nuestro apartado de contacto.
¿Quieres ponerte Carillas de Composite?
1ª VISITA GRATIS Y SIN COMPROMISO
[wpforms id=»1457″ title=»false»]